Início > Notícias e Eventos > Blogue > Nutrientes de Fermentação
Application of Bacillus Culture Medium BA01 in Bio-Agriculture

The Role of Bacillus in Bio-Agriculture
As a crucial probiotic in agriculture, Bacillus plays an indispensable role in advancing bio-agriculture due to its unique biological properties and broad applicability. These bacteria exhibit multiple functions, such as disease resistance, growth promotion, and environmental remediation. They achieve these effects through mechanisms like secreting antimicrobial compounds, promoting plant growth factors, or competitively inhibiting pathogens. Key application areas include:

1.Soil Restoration and Plant Protection: Enhancing microbial diversity, improving soil structure, and increasing crop resilience against stress.

2.Aquaculture: Regulating microbial balance in aquaculture systems to suppress harmful microorganisms.

3.Bio-fertilizers and Bio-pesticides: Leveraging natural metabolites or active bacteria to achieve efficient and safe pest and disease management.



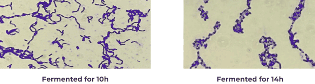
Fig. 1 Effects of BA01 Application on Bacillus subtilis Fermentation

Limitations of Traditional Media

Traditional Bacillus production heavily relies on agricultural by-products such as soybean meal and corn-steep liquor as media ingredients. While cost-effective, these materials pose challenges like poor solubility, large particle sizes, and sedimentation. Such drawbacks hinder the uniform distribution of media in fermentation tanks and create obstacles for modern agricultural systems, such as automated irrigation and fertigation systems (e.g., drip irrigation). Additionally, the nutritional composition of these media is difficult to optimize, leading to lower cell yields and sporulation efficiency.

The Innovative Design of BA01
To address these challenges, Angel Yeast has developed a new clear liquid Bacillus culture medium, BA01. Based on fully soluble ingredients such as yeast extract and peptone, and optimized through Design of Experiments (DOE), BA01 overcomes the limitations of traditional media while significantly enhancing fermentation efficiency.
BA01 offers the following key advantages:

1.High Solubility: Rapidly dissolves in fermentation solutions without forming particles or sediment, ensuring stable operation of fermentation systems.

2.High Biomass and Spore Yield: Optimized nutrient composition creates a favorable growth environment, resulting in superior product quality.

3.Short Fermentation Cycle: Significantly reduces production time, improving overall efficiency and cost-effectiveness.

Fig. 2 Summary of BA01 Applications in Different Bacillus Species

Applications and Future Prospects in Bio-Agriculture

The development of the BA01 culture medium not only meets the demands for efficient, safe, and sustainable production in modern bio-agriculture but also provides a versatile solution for cultivating and producing various Bacillus strains. In practice, BA01 can:

Support precision probiotic application in crop cultivation through automated drip irrigation systems.

Facilitate the production of high-performance bio-fertilizers and bio-pesticides, reducing reliance on chemical inputs.

Adapt to a wide range of industrial fermentation equipment, ensuring reliable scalability for Bacillus production.

In conclusion, the BA01 culture medium represents a significant advancement in culture medium technology, driving the sustainable development of bio-agriculture and laying a solid foundation for future green agricultural practices.


About Angel Fermentation Nutrients

Angel Fermentation Nutrients, rich in protein, amino acids, peptides, nucleotides, B vitamins, and trace elements. With the advantages of having no allergic source and being non-transgenic, high efficiency, and stable quality, Angel YE are widely applied in biological laboratories and industrial-scale fermentation, promoting product safety and technical progress in the global fermentation industry.

About Angel:

Angel Yeast Company is a high-tech listed company specializing in yeast and biotech. Product business covers Yeast and Baking, Yeast Extract-Savoury, Nutrition & Health and Biotechnology fields. It is one of the world's leading companies in the yeast industry. Angel has 12 holding subsidiaries and provides products and services for more than 160 countries and regions.

Press contact:

ANGEL YEAST CO., LTD
Address: 168 Chengdong Avenue, Yichang, Hubei 443003, P. R.China
Tel: +86-717-6369227
Fax: +86-717-6368757

email: tangshuo@angelyeast.com


Marcas relacionadas:
Relacionados Blogue

Ver Todos

contactus followus